久しぶりにホダ木をつくりました
滑子と平茸です
ハンノキに駒打ち
フィールドにて
フィールド観察前に駒打ちをしました。みなさん協力して約1時間で完了!
サンデンの休憩所裏に寝かせました。
直射日光に弱く、寒さと乾燥には強いと解説書に書かれていますが、来秋発生しますでしょうか。
出来たホダ木の写真を鎌田さんからいただきました。
「滑」「平」のアルミプレートで間違わないように明示!
あれ?フィールド散歩の写真がない!
同定台のキノコ
同定台の写真です
この日の話題は、、
ルーペでみないとわからないアナタケの細かく深い穴。一見、何かべったり張り付いているようで実は全然違うというこのキノコ
傘も柄も出てきません。
よく似ているけど、穴でなくシワであったり、つるつるであったり、細かいイボや針であったり(それぞれ違う種)しますので、ルーペ〜での観察が大切です。
次の話題は、、
やはりルーペ必須のダイダイゴケ。
コケかい!?と思われるかもしれませんが、最近キノコ好き界隈では、地衣類が密かなブーム。
実は菌類で、キノコに似た子器(しき)に魅せられるんです。
藻類が共生しているのが地衣類の特徴(というか定義)ですが、竹でもないのにキノコを◯◯タケという呼ぶように、苔でもないのに地衣類を◯◯ゴケと呼ぶのです。
ちなみに苔は蘚苔類という生物ですが、こちらも◯◯ゴケと呼ぶので、区別が大変!!
子器の面白い地衣類は2種見ました。
ダイダイゴケ:コンクリートの擁壁や道路、石垣によく見られ、遠目には粉っぽい汚れに見えます。
(参考)別の日に撮影した写真
そして、
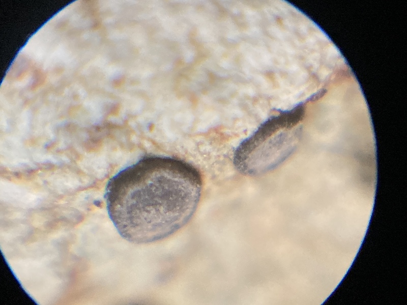
ヘリトリゴケ:黒い縁取りが特徴的。粘土〜砂質の岩の上に見られます。
↑↑↑顕微鏡で見ています。x40
(参考)別の日に撮影した写真
無機質なものの上に居るのは、地衣類自体、共生している藻類が光合成で栄養を作ってくれるので、付着しているものから栄養を摂る必要がないためです。
その他のキノコは硬質菌主体ですが、クジラタケは複数並べてみると、生え始めは丸く分厚いのが次第に薄く平たいものに変わって見えることとか、ヘリに近い部分には管孔が少ないとか、表(上)面には小さいイボが共通的な特徴だとかがわかりました。
ホコリタケと付箋が付いていますが、地面からでなく木からはえていたようなので正確にはタヌキノチャブクロ。地面からだとホコリタケですがその別名がキツネノチャブクロというのでセットでおぼえられそうですね。
優秀な食菌のヒラタケは残念ながら乾燥してしまっていましたが、寒い時期にも見られるのでよくさがしましょう。今回は木の根元に生えていましたが枯れ木の高いところにも見られます。採れないけど・・・
同定台の様子(シートわすれてもた、m_ _m)
採取キノコリスト
属、科名は「あいなのきのこ 写真リスト 2024」によっています。(*以外)
| アナタケ | ウスカワタケ属 | アナタケ科 |
| ウチワタケ | ツヤウチワタケ属 | タマチョレイタケ科 |
| クジラタケ | シロアミタケ属 | タマチョレイタケ科 |
| ダイダイゴケ * | ダイダイゴケ属 | ダイダイゴケ科 |
| タヌキノチャブクロ | タヌキノチャブクロ属 | ハラタケ科 |
| ネンドタケ | アビアナタケ属 | ヒルスキオポルス科 |
| ヒイロタケ | シロアミタケ属 | タマチョレイタケ科 |
| ヒラタケ | ヒラタケ属 | ヒラタケ科 |
| ヘリトリゴケ * | ヘリトリゴケ属 | ヘリトリゴケ科 |
その他林内で見たキノコ
| クロコブタケ | アンニュロヒポクシロン属 | クロサイワイタケ科 |
| センボンクヌギタケ | クヌギタケ属 | クヌギタケ科 |
同定 中嶋、鎌田、坂本、鈴木
写真 中嶋、土屋、鎌田
リスト 中嶋